微信扫描二维码,点击右上角 ··· 按钮
转发给朋友或分享到朋友圈
明美生物显微镜:病理与毒理组织切片研究的好帮手
发布时间:2024-11-28
访问量:872
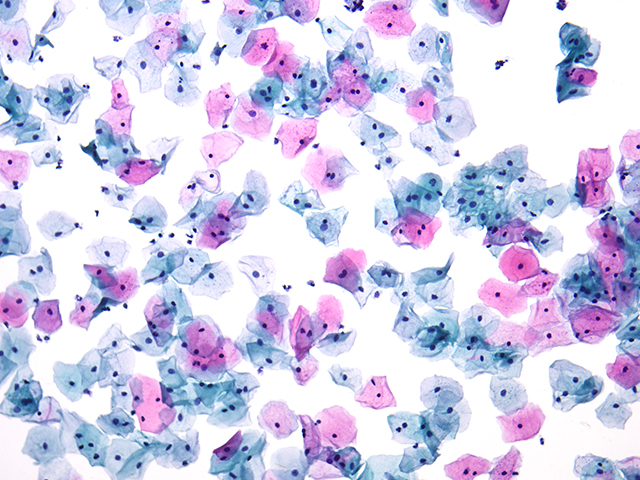
近期,有客户针对组织切片拍照观察提出了特定需求。其主要应用集中在病理和毒理生物组织切片的观察拍照,因而急需一台带成像功能的生物显微镜。这要求显微镜能够清晰地呈现组织切片的微观结构,准确捕捉每一个关键细节,以便为后续的分析诊断提供可靠依据。

明美提出了生物显微镜ML31 搭配高像素摄像头解决方案。生物显微镜ML31 具备良好的光学性能,能够提供清晰、稳定的成像基础。而与之搭配的大靶面高像素相机更是如虎添翼,在明场拍照时可以呈现出清晰的图像效果。

同时,生物显微镜ML31采用 LED 光源,使用方便,无需像传统光源那样进行复杂的预热和调光操作,科研人员只需简单开启,即可迅速投入到组织切片的观察中。而且,LED 光源的维护成本低,大大降低了仪器的长期使用成本。这对于长期进行大量组织切片观察拍照工作的实验室和科研机构来说,无疑是一个非常重要的优势。

生物显微镜ML31不仅满足了客户对于组织切片成像清晰、使用便捷、维护经济的需求,更在生物医学研究领域为科研人员提供了强有力的技术支持。
免责声明
本站无法鉴别所上传图片、字体或文字内容的版权,如无意中侵犯了哪个权利人的知识产权,请来信或来电告之,本站将立即予以删除,谢谢。
微信扫描二维码,点击右上角 ··· 按钮
转发给朋友或分享到朋友圈