微信扫描二维码,点击右上角 ··· 按钮
转发给朋友或分享到朋友圈
明美显微镜相机助力深圳某医疗科技生物试剂检测
发布时间:2026-03-19
访问量:67
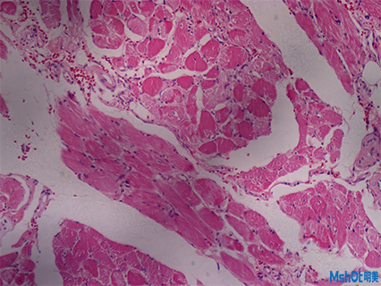
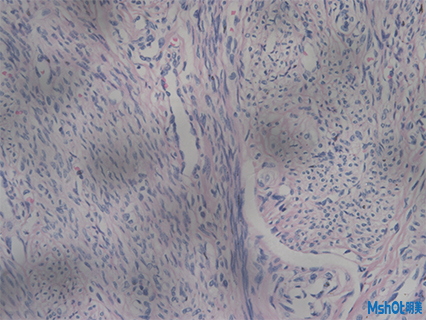
病理切片取一定大小的病变组织,用病理组织学方法制成病理切片。病理切片是透明的,在显微镜下能够观察到组织的形态,搭配显微镜相机可对观察到的形态效果图进行保存对比,拼接等操作,通过病变的发生发展过程,作出病理诊断。

近日,深圳某医疗科技公司在网上找到我们,客户已有一台奥林巴斯倒置显微镜IX71,需要配一套高像素显微镜相机拍病理切片和荧光切片,深圳区域工程师根据老师实际需求推荐了明美科研级显微镜相机MSX2,这款显微镜相机采用大靶面高性能的成像芯片,设计USB3.0数据传输接口,具有高分辨率、颜色还原准确和高灵敏度的特点,其色彩表现,是液基细胞分析、免疫组化、骨髓细胞分析等对颜色要求高的病理诊断的理想工具。此外在明暗场、相衬、偏光、DIC、荧光成像等领域同样适用。


明美光电,我们用专业的态度,关注您细微的问题,想客户之所想,急客户之所急,用十分的品质,填平您产品一分的瑕疵,您若对我们显微镜相机有兴趣或存在疑惑,明美光电欢迎您咨询!
微信扫描二维码,点击右上角 ··· 按钮
转发给朋友或分享到朋友圈