微信扫描二维码,点击右上角 ··· 按钮
转发给朋友或分享到朋友圈
熟悉的饮料“不为人知”的一面
发布时间:2026-03-06
访问量:27
“可乐雪碧矿泉水、咖啡啤酒八宝粥。——腿收一下!”坐过火车的朋友们是不是都很耳熟这句话?没错,这就是火车售货员全国统一的“御用”台词。生活中我们常常有这样的体验:无精打采的上午,来一杯咖啡,瞬间神清气爽,解锁一天能量满满的状态;大汗淋漓之后,喝一口碳酸饮料,打一个大大的响嗝,可谓“喝一口,爽半年”;炎炎夏日的晚上,三五好友相聚,喝啤酒谈人生,“指点江山激扬文字”,好不惬意。还有牛奶、茶、红酒~~~~各种各样的饮料丰富着我们的味觉与生活。我们只见到他们在瓶子里的样子,而显微镜下的另一面,却鲜为人知。
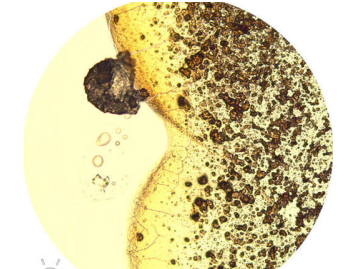
咖啡常常被人们作为提神的饮料,尤其受到白领一族的追捧。每一颗咖啡豆里,都含有100多种物质,其中包括咖啡因、蛋白质、钙、磷、烟酸、维生素等微量元素。虽然在显微镜下的咖啡看起来其貌不扬,但是喝咖啡的好处却不少,提神的同时,还能降血压、消水肿、降低患2型糖尿病、帕金森氏症、肝癌、肝硬化的几率等作用。

显微镜下的咖啡
可乐属于碳酸类饮料,可以振奋精神、补充能量和水分、提高食欲等;别看它在显微镜下纯洁干净,人畜无害的,其实喝可乐的坏处还不少。可能会造成胃肠不适、导致骨质疏松、影响人体对钙的吸收、损伤牙齿、增加肾脏负担以及导致肥胖等,所以喝这类饮料要适量

显微镜下的可乐
炎炎夏日,很多人都喜欢喝啤酒,一杯冰冷的啤酒下肚,既解渴又润喉,让人感到非常舒服。啤酒作为常见的饮品,它的度数很低,容易被大多数人接受,因此在亲朋好友聚会的餐桌上也是非常受欢迎的,不仅可以助兴,还可以拉近人与人之间的距离。啤酒在显微镜下的成像像打碎的玻璃,泾渭分明,还有广受女性同胞欢迎的红酒,显微镜下的图像十分漂亮,但是大家可别被他们的外表蒙蔽了。喝啤酒过量容易诱发肠胃疾病比如痢疾、急性肠胃炎等。尤其是冰冻后的啤酒,肠胃内的温度突然下降,肠胃受到刺激而容易发生腹痛、腹泻甚至胃出血。喝酒过量也容易导致酒精肝,心肌炎,所以小酌怡情,可不能贪杯呀!

显微镜下的啤酒

显微镜下的红酒
明美是一家专注显微成像产品研发与销售的高新技术企业,是中国仪器仪表行业协会光学分会理事单位,医疗器械显微镜生产及经营厂家。
公司一直坚持诚信经营,用心服务,提供显微成像解决方案。为教育、科研、医药、工业检测等广大客户提供稳定的产品与服务。
您若对显微镜有兴趣或存在疑惑,明美光电欢迎您咨询,期待与您相约!
免责声明
本微信公众号无法鉴别所上传图片、字体或文字内容的版权,如无意中侵犯了哪个权利人的知识产权,请来信或来电告之,本微信公众号将立即予以删除,谢谢。
微信扫描二维码,点击右上角 ··· 按钮
转发给朋友或分享到朋友圈