微信扫描二维码,点击右上角 ··· 按钮
转发给朋友或分享到朋友圈
文献分享│结直肠癌化疗耐药新线索:脆弱拟杆菌的作用及噬菌体 VA7 的逆转潜力
发布时间:2026-03-04
访问量:209

本文配图均来源于:Xiao Ding 等. Bacteroides fragilis promotes chemoresistance in colorectal cancer, and its elimination by phage VA7 restores chemosensitivity. Cell Host & Microbe, Cell Stem Cell, 2025, 33 (6): 941-956.e10 DOI: [10.1016/j.chom.2025.05.004]
研究背景结直肠癌(CRC)是全球范围内发病率和死亡率均位居前列的恶性肿瘤之一,严重威胁人类健康。据世界卫生组织(WHO)统计,其在全球癌症发病率中排名第三,死亡率排名第二,且发病率呈逐年上升和年轻化趋势。在我国,结直肠癌的发病率和死亡率也位居恶性肿瘤前列,已成为重要的公共卫生问题。
目前,结直肠癌的治疗以手术切除为主,辅以化疗、放疗、靶向治疗和免疫治疗等综合手段。其中,5 - 氟尿嘧啶(5-FU)、奥沙利铂(OXA)等化疗药物是晚期或转移性结直肠癌的基础治疗方案,可显著延长患者生存期。然而,临床中约有50% 的患者会出现化疗耐药,导致治疗失败、肿瘤复发和转移,这是当前结直肠癌治疗面临的核心挑战之一。
近年来,大量研究证实肠道菌群在结直肠癌的发生、发展及治疗反应中扮演着关键角色。肠道菌群失调可通过多种途径促进肿瘤发生,如诱导慢性炎症、产生致癌代谢物、调控免疫微环境等。同时,肠道菌群也深刻影响着肿瘤对化疗药物的敏感性:某些共生菌可增强化疗药物的抗肿瘤活性;而某些致病菌(如脆弱拟杆菌)则可通过激活肿瘤细胞内的信号通路,抑制化疗诱导的细胞凋亡,从而介导化疗耐药。
研究流程Bacteroides fragilis promotes chemoresistance in colorectal cancer, and its elimination by phage VA7 restores chemosensitivity提供了关于脆弱拟杆菌(BF)在结直肠癌中功能和临床意义的证据,研究证明,BF通过其外膜蛋白 SusD/RagB 直接激活 Notch1 信号通路,从而介导化疗耐药;作者利用噬菌体VA7选择性消除 BF,可以恢复体外和小鼠模型中的CRC化学敏感性。这些发现对CRC患者的临床诊治具有重要意义。

脆弱拟杆菌介导结直肠癌化疗耐药及噬菌体干预策略
图1两个独立的结肠癌患者群体肠道微生物与化疗反应的关联
以6个月为观察期,将结肠癌患者(CRC)分为应答者和无应答者,化疗前粪便收集,进行宏基因组测序分析菌群组成(图1A);LEfSe 分析筛选差异特征菌(图1B&E);BF丰度与患者生存的关系(图1D&F)。结果:BF是化疗无反应的独立预测因子,BF可能是导致结直肠癌化疗耐药的影响因素。

图2 BF对CRC异种移植中化疗耐药性的影响
HT29异种移植至裸鼠后经5-FU/OXA处理后,BF、大肠杆菌或PBS每两周进行一次肿瘤内给药(图2A);大肠杆菌和PBS组中,5-FU抑制了肿瘤生长,而 BF则削弱了这些作用(图2B-D);通过TUNEL检测细胞凋亡,其中BF + 化疗组的细胞凋亡(TUNEL 阳性)比例远低于 PBS/EC + 化疗组。

通过Ki67检测细胞增殖,BF + 化疗组的细胞增殖比例更高,说明化疗诱导的细胞凋亡被抑制,肿瘤细胞在化疗下仍在活跃生长(图2E-F)。BF的促耐药作用在Apc 基因突变的自发肠癌小鼠、AOM/DSS 诱导的肠癌诱发模型和人源化的人工生殖器AOM/DSS诱导CRC小鼠模型中是一致的(图2G-L)。

图3 BF激活 Notch 信号通路,促进结直肠癌化疗耐药
为了解BF驱动药物抗性的分子机制,通过GSEA分析,发现BF介导Notch信号通路可能为化疗耐药的核心通路;经BF处理后的HT29和HCT116中Notch1 的胞内活性片段(NICD1)、Notch1 总蛋白及下游靶基因(Hes1、c-Myc)的表达水平显著升高,说明BF 确实激活了 Notch 信号通路,并抑制了化疗诱导的凋亡。免疫荧光染色显示,在HT29细胞中Notch1活化(图3C)。
加入 DAPT 抑制 Notch 通路后,BF + 化疗组的肿瘤负荷显著降低,与 PBS + 化疗组无显著差异,因此抑制 Notch 信号通路可以有效逆转 BF 介导的化疗耐药(图3E-G);在 Notch1 敲除小鼠中,BF 无法再促进化疗耐药,BF + 化疗组的肿瘤负荷与PBS化疗组无显著差异,结论:Notch1 是 BF 介导化疗耐药的关键分子(图3H-J)。

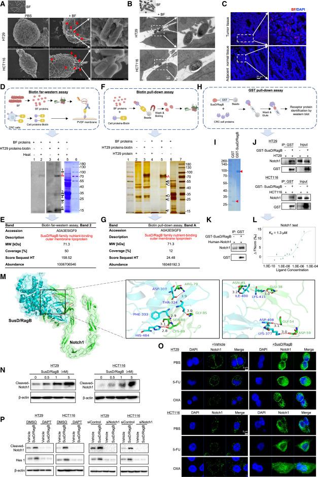
图4 BF的外膜蛋白SusD/RagB直接结合并激活Notch1信号通路
扫描电镜(SEM)和透射电镜(TEM)结果显示,BF可直接黏附于 HT29 和 HCT116 等结直肠癌细胞的表面,并与细胞膜形成紧密接触和局部凹陷结构。三维共聚焦成像进一步证实了BF 与细胞的共定位,提示两者之间存在直接的分子相互作用;通过生物素远缘杂交(Biotin far-western)实验,从 BF 全蛋白中筛选出可与 HT29 细胞蛋白结合的特异性条带,经质谱鉴定为 SusD/RagB 家族外膜蛋白。
GST pull-down 实验证实,纯化的 GST-SusD/RagB 融合蛋白可特异性地从 HT29 和 HCT116 细胞裂解液中拉下 Notch1 蛋白;通过不同浓度SusD/RagB 处理后 Cleaved-Notch1(NICD1)及下游靶基因(Hes1)的表达和定位,验证BF 通过其外膜蛋白 SusD/RagB 直接结合并激活 Notch1 信号通路,从而促进结直肠癌化疗耐药(图4N-O)。


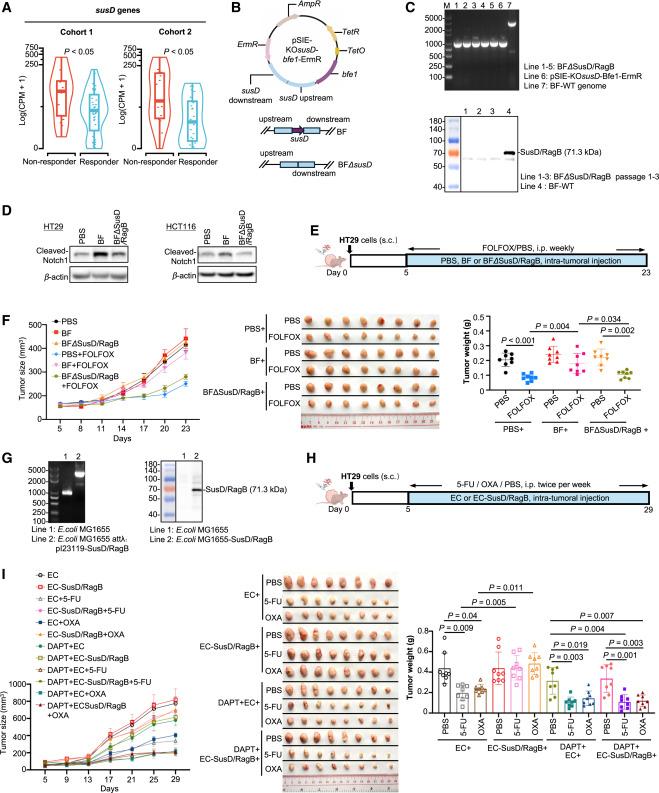
图5 SusD/RagB参与BF的化学耐药
为进一步验证SusD/RagB在脆性芽孢杆菌介导的化学耐药中的重要性,研究人员构建了SusD/RagB缺失的 BF(B. fragilisΔSusD/RagB)(见图5B和5C),未能诱导Notch1激活(见图5D)及在CRC细胞(图S7J)和HT29异种移植中出现化学耐药(见图5E和5F)。还构建了大肠杆菌MG1655,SusD/RagB(大肠杆菌SusD/RagB)(见图5G)。大肠杆菌SusD/RagB导致HT29异种移植中的化学耐药性(见图5H和5I),该效应被DAPT消除,证实SusD/RagB对脆弱拟杆菌的化学耐药作用至关重要。

图6 噬菌体VA7体外消除BF的效能以及安全性
通过体外噬菌体杀伤实验、构建短期和长期噬菌体治疗模型,得出VA7可以特异性破坏BF,对EC无显著杀伤作用,噬菌体VA7降低了BF在粪便以及肿瘤组织中的丰度,且对肝功能、肾功能和体重等无显著影响。

图7 噬菌体VA7逆转了CRC小鼠中BF诱导的化学抗性
最后,研究人员探究了VA7在体内克服BF的化疗耐药作用。构建HT29 异种移植瘤模型和AOM/DSS 诱导的 CRC 模型,分别给予 PBS、BF、BF+VA7 处理,同时联用 5-FU 或 OXA 化疗,BF+VA7分别抑制了BF介导的化疗中结直肠肿瘤的生长和肠道病变。结论:噬菌体VA7 靶向清除 BF 可有效逆转化疗耐药,并恢复肿瘤对化疗的敏感性。
研究意义
本文提供了关于脆芽孢杆菌在结直肠癌中功能和临床意义的证据,BF通过SusD/RagB与CRC细胞相互作用,抑制化疗诱导的细胞凋亡。除此之外,还验证了利用噬菌体VA7可以选择性消除 BF,开发了噬菌体VA7 靶向清除 BF 的策略,有效逆转了 Notch 通路激活和化疗耐药。噬菌体 VA7 对 BF 具有高度特异性,不影响其他肠道菌群,且体内安全性良好,为“精准微生物组干预”治疗肿瘤提供了成功范例。该策略可与现有化疗、靶向或免疫治疗联用,有望显著提升结直肠癌的整体治疗效果,并为其他肿瘤类型的菌群相关耐药研究提供借鉴。
微信扫描二维码,点击右上角 ··· 按钮
转发给朋友或分享到朋友圈