微信扫描二维码,点击右上角 ··· 按钮
转发给朋友或分享到朋友圈
巴氏涂片或者液基细胞用什么显微镜相机好?
发布时间:2026-01-20
访问量:99
巴氏涂片或者液基细胞用什么显微镜相机好?
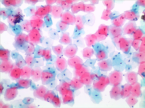
巴氏涂片是宫颈脱落细胞学的检查方法,也就是常说的宫颈癌筛查,就是从宫颈部取少许细胞样品,放在载玻片上,通过染色然后在显微镜下观察细胞,用显微镜相机捕捉画面并保存图片分析是否有异常,由于存在大量的红细胞、白细胞、黏液及脱落坏死组织,可能会造成50%-60%的假阴性。
液基细胞学检测(TCT)是利用特制的小刷子刷取宫颈细胞,标本取出后放入有细胞保存液的小瓶中,通过过滤膜过滤,可以将标本中的杂质分离,可以使过滤后的上皮细胞单独、均匀的分布在玻璃片上。因为样品的特殊性,对显微镜相机的成像及性能要求较高。


明美显微镜相机MSX2采用大靶面高性能的成像芯片,设计USB3.0数据传输接口,具有高分辨率、颜色还原准确和高灵敏度的特点,其色彩表现,是液基细胞分析、免疫组化、骨髓细胞分析等对颜色要求高的病理诊断的理想工具。此外在明暗场、相衬、偏光、DIC、荧光成像等领域同样表现。
免责声明
本站无法鉴别所上传图片、字体或文字内容的版权,如无意中侵犯了哪个权利人的知识产权,请来信或来电告之,本站将立即予以删除,谢谢。
微信扫描二维码,点击右上角 ··· 按钮
转发给朋友或分享到朋友圈