微信扫描二维码,点击右上角 ··· 按钮
转发给朋友或分享到朋友圈
生物显微镜下的卵巢病理切片
发布时间:2025-11-19
访问量:1015
生物显微镜下的卵巢病理切片
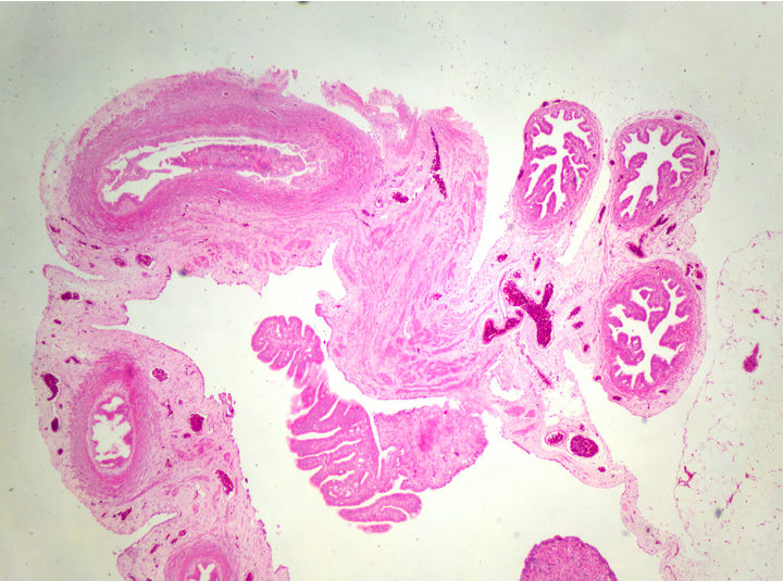
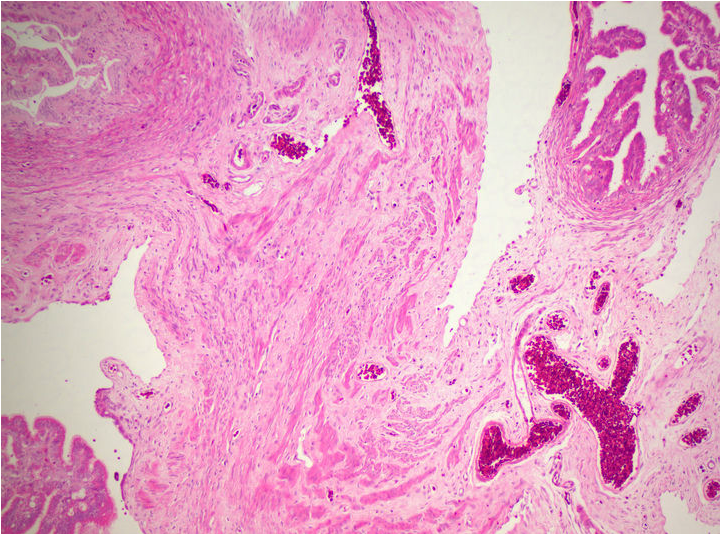
病理切片是病理科医生确诊病症的重要工具,观察病理切片一般使用生物显微镜明场观察,一款好的病理切片显微镜,不仅要求使用舒适,还要成像清晰。在生物显微镜ML31的观察下,经过HE染色的卵巢切片呈粉红色,并呈现出丰富而复杂的细节。

卵巢,作为女性生殖系统的重要器官,负责产生卵子和分泌性激素。透过生物显微镜ML31,我们可以看到许多不同种类的细胞。其中较突出的是卵原细胞,这是卵巢中产生卵子的母细胞。在染色切片中,卵原细胞呈现出较大的体积和较深的染色,与其他细胞有所区别。

通过生物显微镜ML31观察卵巢染色切片,我们可以了解卵巢的基本结构和功能。这不仅有助于我们对生殖系统的理解,也为研究卵巢疾病的病因、病理和治疗方法提供了重要依据。

明美生物显微镜ML31是一款无限远独立消色差的正置显微镜,采用大视野高眼点目镜、平场消色差物镜、长寿命LED科勒照明等设计,具有丰富的扩展潜力,适合病理观察、生物切片观察、细菌观察、中药鉴定等应用。
免责声明
本站无法鉴别所上传图片、字体或文字内容的版权,如无意中侵犯了哪个权利人的知识产权,请来信或来电告之,本站将立即予以删除,谢谢。
微信扫描二维码,点击右上角 ··· 按钮
转发给朋友或分享到朋友圈