微信扫描二维码,点击右上角 ··· 按钮
转发给朋友或分享到朋友圈
显微镜下的芽孢杆菌|应用百科
发布时间:2025-11-07
访问量:910
01
芽孢杆菌

杆菌的结构
芽孢杆菌是一类短杆状的革兰氏阳性菌,常见于泥土和水中,以能够形成芽孢为特征。芽孢是其内生孢子,是为了对抗苛刻环境而制造的细菌休眠体。

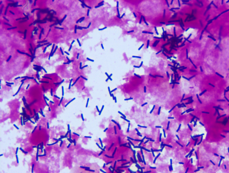
革兰氏染色的杆菌,透明的是芽孢
芽孢杆菌种类繁多,包括枯草芽孢杆菌、蜡样芽孢杆菌、地衣芽孢杆菌、多黏芽孢杆菌、短芽孢杆菌、炭疽芽孢杆菌等。大部分芽孢杆菌对人无害,并且还常用于工业、农业、食品等领域。
02
枯草芽孢杆菌

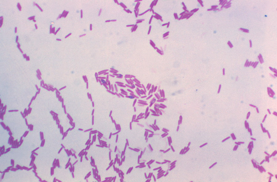
明美ML51-N拍摄的枯草芽孢杆菌
枯草芽孢杆菌因常见于枯草浸液中而得名,早在显微镜发明之前,古代人就已经在利用这种菌发酵制作各种产品,比如秦汉时期,中国人就已经在用枯草芽孢杆菌发酵制作纳豆,部分豆豉也是枯草芽孢杆菌发酵出来的。

枯草芽孢杆菌肥料和益生菌
近代工业化生产中,枯草芽孢杆菌常用于制作固氮方向的肥料,以及针对肠道问题、水质问题方向的益生菌制剂。

荧光显微镜MF43-N用于芽孢杆菌研究
枯草芽孢杆菌还是微生物研究中的模式微生物,是微生物生理生化机理研究的理想模型,相关研究通常使用正置荧光显微镜进行。

培养基对菌膜形成的影响
比如利用荧光标记的枯草芽孢杆菌,接种在不同培养基中,对比不同培养基对菌膜(biofilm)形成的影响。

明美MF43-N下的枯草芽孢杆菌
另外,由于枯草芽孢杆菌有非致病性、胞外分泌蛋白能力强等特点,还被广泛应用于代谢工程领域,工业应用于生产小分子化合物、大宗化学品、工业酶、药物及保健品等生物制剂,近年相关研究成果也比较多。
03
地衣芽孢杆菌和苏云金芽孢杆菌

显微镜下的地衣芽孢杆菌
地衣芽孢杆菌是另一种比较商业化的菌种,在用于发酵和制作肥料时和枯草芽孢杆菌有些区别,更适合解决农残问题和提高作物抗病能力。

地衣芽孢杆菌的肠胃药
枯草芽孢杆菌主要是兽用的益生菌,而地衣芽孢杆菌则可以制作成人用益生菌,我们可以在药店和网上轻松找到相关药品。

显微镜下的苏云金芽孢杆菌
苏云金芽孢杆菌也是一种高度商业化菌种,但用途和枯草芽孢杆菌、地衣芽孢杆菌差异比较大,它的用途是生物杀虫剂,对菜虫、毛虫等鳞翅目害虫的幼虫具有高毒性,全球90%以上的生物杀虫剂都是苏云金芽孢杆菌制作的。

电镜下的苏云金芽孢杆菌伴胞晶体
苏云金芽孢杆菌在生成芽孢同时会生成一颗微小的蛋白质晶体,这个晶体长度仅1-2nm,可能是菱形或者不规则形状,需要使用电镜才能看清。
04
有害菌:蜡样芽孢杆菌

显微镜下的蜡样芽孢杆菌
当然,芽孢杆菌也不是全都是益生菌。蜡样芽孢杆菌就是常见的,引起食物中毒的一种细菌,尤其容易污染冷饭等高淀粉食品,造成“炒饭综合征”,引起呕吐、腹泻等症状,国标检测要求使用培养结合显微镜观察来检验。

炒饭
蜡样芽孢杆菌生长温度范围20-45℃,因此煮好的饭只要保温模式放着,或放进冰箱储存,都不怕蜡样芽孢杆菌,而在室温放置超过2小时的冷饭,就有被污染的风险,而且污染的饭看起来、闻起来都没有问题,所以比较防不胜防。
05
推荐方案
一、革兰氏染色等明场观察

明美 ML51-N拍摄的芽孢杆菌
二、使用荧光探针的荧光观察

MF43-N拍摄的枯草芽孢杆菌
微信扫描二维码,点击右上角 ··· 按钮
转发给朋友或分享到朋友圈