微信扫描二维码,点击右上角 ··· 按钮
转发给朋友或分享到朋友圈
显微成像在宠物医疗中的应用
发布时间:2025-11-05
访问量:268
一、宠物医疗中的显微成像

宠物医疗
宠物为很多人提供了高质量陪伴,这对人的心理健康和身体健康都有重要意义,而当宠物生病,就需要宠物医院或者宠物诊所提供宠物医疗。

生物显微镜ML31
显微镜是宠物医疗中的基础诊断仪器,基本上所有宠物诊所都一定会有,通常为正置生物显微镜,支持40X-1000X的明场显微观察,而显微镜相机则是可能有也可能没有,主要看需求。

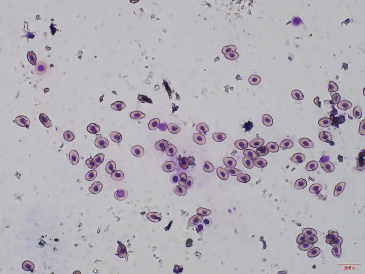
明美ML31拍摄的宠物血细胞
显微镜可以为宠物医疗提供多种镜检诊断功能,例如:
1、血液细胞学检查,用于发现一些血液病和寄生虫问题。
2、便检,可以发现球虫等寄生虫和潜血等问题。
3、皮肤检查,可以发现寄生虫、真菌、癌和瘤等。
4、耳道分泌物检查,可以看耳部细胞学,包括寄生虫、真菌、细菌等。
5、病理检测,包括组织病理检查和穿刺活检、胸腔积液TCT等,需要比较完整的配套。
二、宠物医疗中的挑战
宠物医院和宠物诊所的规模,无法跟人类医院相比,大部分不配备专门的病理科实验室,也没有冷冻切片机之类设备,因此宠物医疗中看的样品多是快速制样观察的,而不是典型的HE染色病理切片,因此诊断能力有其限制,组织病理学样品往往需要送检给第三方做。

405nm激发实现的荧光模拟明场成像FIBI
目前国外已经有宠物医院在尝试使用荧光模拟明场成像FIBI,来进行免冷冻切片制样的快速病理诊断,据论文研究可靠性基本和HE染色的病理切片相近,而且制样是非破坏性的,仪器只需要一台405nm荧光激发的三轴电动显微镜,以及相机和配套的成像扫描软件。
三、明美推荐方案
1、常规观察诊断方案

·10X/22大视野目镜,观察舒适便捷
·LED光源科勒照明,色彩真实容易使用
·无限远光学设计,可扩展荧光等应用
·可接显微镜相机,实现数字成像
2、小型宠物诊所方案
推荐:生物显微镜ML11

·机身小巧轻便,方便存放
·消色差物镜,成像质量良好
·LED光源照明,可用充电宝供电
·可选无限远光学配置方案
3、宠物大体病理成像方案
推荐:大体成像仪ME40

·大体标本拍摄相机,可自动对焦
·800万像素,10倍光学变焦,超大景深
·标准1/4接口,可配万向支架,方便安装
·三键脚踏开关,放大/缩小/拍照,解放双手
微信扫描二维码,点击右上角 ··· 按钮
转发给朋友或分享到朋友圈