微信扫描二维码,点击右上角 ··· 按钮
转发给朋友或分享到朋友圈
明美显微镜相机助力深圳市妇幼保健院妇科真菌检查
发布时间:2025-10-21
访问量:465
明美显微镜相机助力深圳市妇幼保健院妇科真菌检查
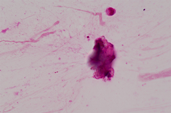
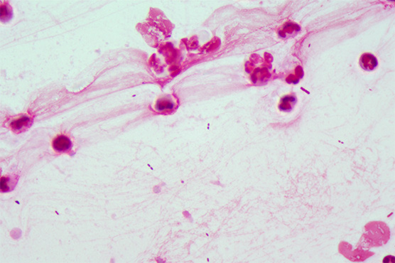
妇科真菌感染是目前比较常见的一种病症,妇科真菌感染对女性的的伤害也比较大。真菌适宜于在潮湿、温暖的环境繁殖;在有氧、温度合适、且有一定湿度的条件下,空气中飘散的真菌增多。深圳市妇幼保健院需要用到显微镜搭配显微镜相机来观看妇科白带涂片,从而对妇科真菌进行检查,从而进一步做诊断。

明美显微成像系统,包括明美显微镜相机及配套显微成像软件,可搭配不同品牌显微镜实时输出影像至屏幕,以了解对象状况,用作实时判断或记录。下图为明美显微镜相机MDX10搭配蔡司Axio Ascope显微镜拍摄妇科白带涂片。

明美显微镜相机MDX10采用高性能成像芯片,针对显微镜拍摄场景特别优化,准确还原样品的精细结构和真实色彩,采用USB3.0数据传输接口,2000万像素全分辨率下运行流畅,提升采集效率,是病理诊断、金相分析和体视观察等应用领域的理想工具。

您若对显微镜相机感兴趣,欢迎与我们联系!
微信扫描二维码,点击右上角 ··· 按钮
转发给朋友或分享到朋友圈