微信扫描二维码,点击右上角 ··· 按钮
转发给朋友或分享到朋友圈
光学显微镜观察方式大盘点:明场
发布时间:2025-10-15
访问量:675
光学显微镜观察方式大盘点:明场
光学显微镜适用于多种检材,如组织切片、活细胞、电路板等。不同检材光学特性差异大,需使用不同观察方式,主要有明场、相差、荧光、偏光、DIC、暗场、霍夫曼相衬七大方式。
一台光学显微镜可能拥有一种或多种观察方式,今天我们先来说说明场观察方式。
(1)成像原理
明场观察是光学显微镜基础的观察方式,其利用可见光(约400-700nm)作为照明光源,光线相位、照射角度等性质不作改变,直接照射在样品上进行成像。
明场观察有透射照明和反射照明两种照明方式,前者是照明光线透过样品后进入物镜,主要适合有透明度的薄样品;后者是照明光线照射到样品后反射进入物镜,主要适合不透明的厚样品。

透射与反射(落射)光路示意图
(2)关键部件
明场观察不需要特殊的部件,其效果主要受光源和聚光镜影响。光源有两项核心规格,色温和显色性。聚光镜核心规格是数值孔径。
传统以卤素灯等作为光源,其特点是色温偏暖,约3000K,亮度越低色温越暖。人眼观察较为舒适,显色性高,但一般需要在光源处使用RBD日光滤光片或蓝色滤光片校正色温,否则对于样本中红染、黄染等细节的分辨很差。主要缺点是发热大、使用不当容易烧,另外用滤色片校正色温会损失光强,对拍照有影响。
使用技巧:关卤素灯光源前先把光强调低。以高光强启动卤素灯容易导致灯泡烧坏,调低光强再关,可以避免下次开灯时意外烧坏灯泡。LED光源则基本不影响,但养成好习惯总是有益的。
目前专业LED光源已逐步成为主流,其色温恒定在5000K左右,接近日光的平均色温,显色性较好,人眼观察和数字相机成像都有较好效果。此外LED光源功耗低亮度高,一般3W LED可以达到30W卤素灯光强,方便即开即用,寿命长,免维护,因此明美大部分显微镜均默认采用LED作为明场光源,卤素灯则作为可选。

左图:卤素灯照明;右图:LED灯照明
聚光镜会有倍数刻度或者数值孔径刻度,一般调到物镜对应的倍数,或者比物镜数值孔径稍低的数值即可。更准确的调试方式,拔出目镜,边调节孔径光阑边从观察筒观察物镜后焦平面,当画面占视野3/4左右时效果好,但不建议频繁这样操作,因为容易让观察筒进灰。
产品小知识1:除了数值孔径,聚光镜还有消色差、消球差等规格区别,在40X以上会对成像质量有较大影响,所以并不是数值孔径高就等于更好。
产品小知识2:如果您想使用超低倍2X物镜,您需要选配摇出式聚光镜。
(3)成像特点
明场观察能较好地呈现样品色彩,但衬度较低,尤其是透射照明的明场中。在透射照明成像过程中,带有样品信息的光线与背景光线混合在一起,这使样品浅色部分与背景对比度较低,遇到活细胞等透明样品基本看不出细节。因此,该观察方式适合已经染色样品或本身有颜色的样品进行成像。

(4)主要应用
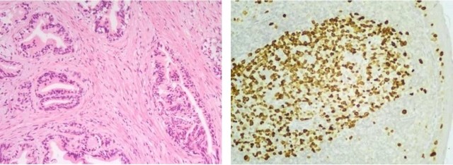
①医学诊断:HE、IHC等染色病理切片检验

明美研究级生物显微镜ML51-N明场观察样品图
左图:HE 组织病理切片样品 右图:IHC 免疫组化样品
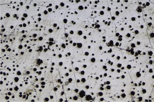
②材料分析:金相组织、电路芯片等。

明美金相显微镜MJ43拍摄的明场金相组织
③生物学研究:如观察组织器官、细胞结构、微生物等。

明美体视显微镜MZX100拍摄的蜜蜂
(5)明美产品
产品:ML11/ML31/ML41/ML51

配置白光LED光源,成像明亮清晰
采用无限远光路系统,可灵活升级配置
适用于教学、科研、医疗诊断等场景
②金相显微镜
产品:MJ31/MJ33/MJ43/MJ41-LED/MJ42

可配置LED或卤素灯等光源,满足不同观察习惯
配置长工作距离金相物镜,成像清晰,对比度高
适用于工业、材料学等观察场景
③体式显微镜
产品:MZ62/MZ101

独立双光路系统设计,成像具有立体感
可配备透射与反射LED光源,适配不同检材
可适用于常规生物医学检验,科研研究和工业检测等高精度观察领域
④显微镜相机
产品:MSX11/MSX2/MSX1/MDX10

大靶面尺寸感光芯片,高像素设计,细节成像更清晰
灵敏度高,色彩还原性好
软件易用,可搭配明美及其他品牌显微镜
本期的文章就到这里,希望对大家有帮助,下一期我们介绍相差观察。
免责声明
本站无法鉴别所上传图片、字体或文字内容的版权,如无意中侵犯了哪个权利人的知识产权,请来信或来电告之,本微信公众号将立即予以删除,谢谢。
微信扫描二维码,点击右上角 ··· 按钮
转发给朋友或分享到朋友圈