微信扫描二维码,点击右上角 ··· 按钮
转发给朋友或分享到朋友圈
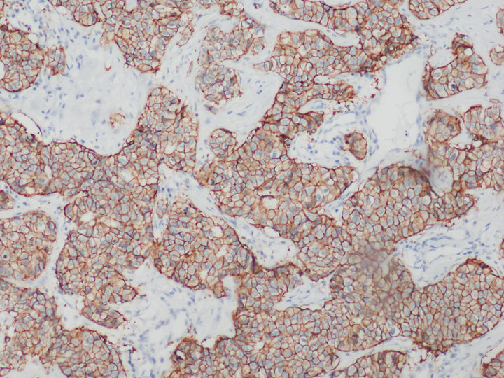
荧光显微镜下的乳腺癌HER2检测
发布时间:2025-09-17
访问量:315
荧光显微镜下的乳腺癌HER2检测
HER是一类与细胞增殖息息相关的蛋白质,全称是human epidermal growth factor receptor,中文叫作人表皮生长因子受体。HER蛋白质家族共有四兄弟,其中HER2负责将细胞膜外的生命信息传导至细胞内,是乳腺癌诊断指标之一,检测HER2一般用正置荧光显微镜,使用免疫组化或荧光原位杂交FISH技术。

在乳腺癌,胃癌等肿瘤筛查领域中,HER2的表达水平是肿瘤检测的常用指标。目前,HER2基因检测常见方式以免疫组化IHC技术和FISH技术为主。

免疫组化HER2检测可以用普通显微镜明场观察实现,设备要求较低,但灵敏度和特异性相对弱。

在乳腺癌HER2基因检测中,荧光原位杂交(FISH)技术有更高的检测准确率。

荧光原位杂交技术,其原理基于碱基互补配对的原则,通过对组织样品特殊处理使带有荧光物质的探针与目标DNA接合,最后用MF43-N等正置荧光显微镜高倍放大直接观察目标DNA所在的位置,该技术广泛应用于肿瘤病理诊断、基因定位、染色体研究等领域。

明美MF43-N正置荧光显微镜可选搭配高灵敏度荧光相机和MFISH图像分析系统, 利用荧光基团标记DNA探针,再将标记的DNA探针与样本DNA进行原位杂交,在荧光显微镜下对荧光信号进行计数,为临床诊断提供依据。
免责声明
本站无法鉴别所上传图片、字体或文字内容的版权,如无意中侵犯了哪个权利人的知识产权,请来信或来电告之,本站将立即予以删除,谢谢
微信扫描二维码,点击右上角 ··· 按钮
转发给朋友或分享到朋友圈