微信扫描二维码,点击右上角 ··· 按钮
转发给朋友或分享到朋友圈
显微镜能怎样看细菌?细菌镜检方式大盘点
发布时间:2025-05-14
访问量:14116


明美生物显微镜ML51(左)和ML51-N(右)
细菌和真菌尺寸都非常小,直接观察非常难看清,因此一般细菌观察都需要经过染色,其中最经典的方法是革兰氏染色。

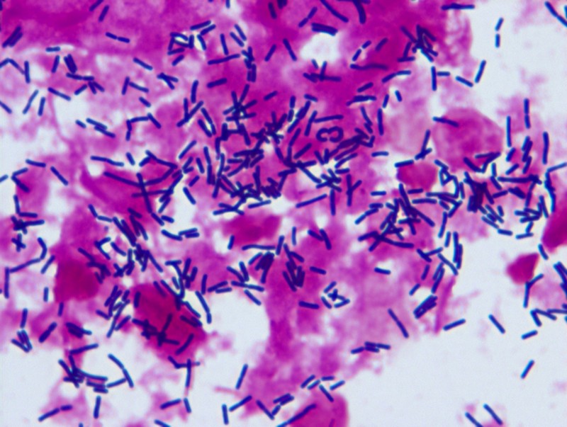
革兰氏染色是使用广泛的一种细菌鉴别方法,革兰氏阳性菌染色后呈紫色,阴性菌呈红色,染色后不仅可以看清细菌型态、排列和结构特征,还对抗生素选择有指导意义。我们来给大家看看一些常见的细菌经过革兰氏染色后的样子。

这是蜡样芽孢杆菌,呈紫色杆状,革兰氏阳性菌,可引起食物中毒、呕吐。

这是肉毒杆菌,总体呈紫色,革兰氏阳性菌,其次极端有阴性反应的芽孢,呈红色,总体形状看起来像个汤匙,会产生剧毒的肉毒毒素。

为了呈现细菌鞭毛,还有专门的鞭毛染色法,比如Leifson氏鞭毛染色法和Bailey氏鞭毛染色法,可以将鞭毛染成红色,以便生物显微镜观察。

抗酸染色下的杆菌(红色)
革兰氏染色主要问题是步骤比较繁琐,如果不需要分辨革兰氏阳性阴性,那么也可以简单点用吉姆萨染色或者抗酸染色等方法。另外由于细菌尺寸很小,用低倍镜检容易漏,检出率不理想,而如果用100X油浸物镜高倍镜检,小批量还能处理,大批量的话效率堪忧。

明美荧光显微镜下的细菌
为了提升细菌和真菌的检出率,很多医院目前都已经改用了明美的荧光显微镜做荧光镜检。

荧光观察下的念珠菌(红色)
荧光染色剂可以将细菌、真菌等目标特异性染色,经过荧光显微镜激发观察,目标将会呈现明亮的荧光反应,而背景和其他无关目标将呈现为暗色到纯黑,即便用低倍物镜也能快速发现这些荧光反应,从而大大提升诊断的速度和准确性。
不同的荧光染料可以染色不同的细菌,可以据此快速判断是否存在特定种类细菌,我们来给大家分享下一些常见的细菌在荧光显微镜下的样子。

大肠杆菌,上厕所不洗手可能会感染,导致腹泻。

沙门氏菌,生吃鸡蛋容易感染,导致食物中毒。

结核杆菌,会导致结核病,属于呼吸道七联检之一,其他还有六种病原体也是用荧光观察进行判定的。

新生隐球菌,常见于鸽粪的致病真菌,对免疫力低的人能造成较大伤害。

白念珠菌,也是常见真菌,正常人也会有少量,免疫力低可能会失控增殖进而致病。

医院用ML51-N看血涂片
上面都是科研和医疗层面常用的细菌观察方式,不仅需要比较高预算的仪器设备和配套耗材,还需要比较强的专业技能,那么普通人想看细菌能怎么做呢?

首先是选择一台靠谱的显微镜。这里要纠正一个某宝、某多多等电商平台的概念误导,不存在什么“上万倍放大的光学显微镜”。由于光学限制,一般的显微镜放大倍率上限在1000倍左右,也就是100X物镜搭配10X目镜,就到头了,所谓万倍放大只会让成像偏暗且模糊,没有意义。

生物显微镜ML11
常规的生物显微镜,如很多学校在用的ML11,标配4X/10X/40X/100X四种物镜,可以用40X或者100X看细菌。正常渠道四个倍率全齐的新机肯定要千元以上,低于千元的画质和做工堪忧,不建议买,关注明美看图就好了。使用100X油浸物镜可以看到更丰富的细菌细节,但这种高倍油浸物镜使用比较难,需要先学习、准备好耗材再操作。

吉萨姆染色下的细菌
有靠谱仪器后,下一步就是方法了。首先是经典的明场染色,革兰氏染色耗材比较多,步骤比较繁杂,不建议普通人从这个方法上手,建议选择吉萨姆染色,耗材和步骤相对简单,而且染色液也相对革兰氏染色液更便宜。
如果不想倒腾染色,也有三种不染色的方法。

相衬观察下的支原体(小黑点)
第一种方法是相衬观察。相衬观察是适合看未染色的细胞、细菌等样品的科学方法,它能将样品厚度差异转化为图像对比度,从而勾勒出样品的型态。相衬观察需要专门的相衬物镜和相衬聚光镜,倒置显微镜通常会配备这些,正置显微镜也能通过升级相衬物镜和相衬聚光镜实现,但相衬套装通常比较贵。

暗场下的血红细胞
第二种方法是暗场观察。暗场观察利用的是丁达尔效应,就是阳光斜照让灰尘都清晰可见的那种现象,它可以形成黑背景、亮样品的高对比度图像。暗场观察可以通过简易暗场聚光镜实现,只需在聚光镜下安装暗场环,然后把聚光镜调到最高位置观察即可,ML31等生物显微镜有标配的暗场环可以选购。

斜照明下的酵母菌
最后一种方法是斜照明观察。这种方法可以让透明样品形成强立体感,但会形成明显的色差(紫边、彩色边),同时画面亮度会不均匀。生物显微镜可以0成本体验,方法很简单,直接把手伸到阿贝聚光镜底部,将大部分光照遮住,留下边缘一条缝,一边观察一边调整手遮的位置和方向,直到你感觉效果最好。明美体视显微镜MZX100可调角度透射式底座就是利用斜照明技术,可以用于观察透明的卵母细胞等样品。
总结:用显微镜看细菌还真不是简单操作,需要成像质量好的生物显微镜或荧光显微镜,方法包括革兰氏染色等明场染色、FITC-D-Lys等荧光染色、相衬观察、暗场观察和斜照明观察。对于大型医院等机构,MF31-M荧光生物显微镜还是很好的选择,快捷高效;其他机构可以考虑ML31/ML11生物显微镜搭配革兰氏染色等明场染色;简易暗场和斜照明技术要求和成本要求相对低,但效果也相对难调好,只建议普通用户尝试。
免责声明
本站无法鉴别所上传图片、字体或文字内容的版权,如无意中侵犯了哪个权利人的知识产权,请来信或来电告之,本站将立即予以删除,谢谢。
微信扫描二维码,点击右上角 ··· 按钮
转发给朋友或分享到朋友圈