微信扫描二维码,点击右上角 ··· 按钮
转发给朋友或分享到朋友圈
明美多重荧光数字切片扫描系统技术交流会预告
发布时间:2025-03-17
访问量:1053
木棉蘸雨映江楼,
珠水含烟涨暖流。
云抱新晴迷小径,
风扶塔影挽春留。
时间:3月18日(周二) 上午9:30-11:30

其重要的应用方向包含
1. 基础生物学研究:细胞生物学/分子生物学/信号转导研究
2. 植物科学与农业研究
- 植物病理学: 检测病原菌(如真菌、病毒)在植物组织内的侵染过程。
- 转基因植物分析: 验证外源基因(如荧光报告基因GFP)的表达定位或代谢产物分布。
3. 医学与病理学:癌症研究 /神经退行性疾病 /病理诊断辅助
4. 神经科学:神经元形态分析 /突触研究 / 脑图谱构建
5. 免疫学与感染性疾病:免疫荧光检测 /病原体定位
6. 药物研发与药理学 : 药物靶点验证 /毒理学评估
7. 发育生物学与再生医学:胚胎发育追踪 /干细胞分化
8. 心血管研究: 血管生成与动脉粥样硬化 /心肌病理学
9. 代谢性疾病研究: 糖尿病研究 /肥胖机制
10. 空间组学与多组学整合: 空间转录组学/多色标记分析
MES200的技术优势
- 高分辨率与多维度成像:支持Z轴层扫、三维重建及大组织样本拼接。
- 自动化与定量分析:减少人为误差,适用于高通量筛选(如药物库筛选)。
- 多光谱分离:解决荧光串色问题,提升多标记实验的准确性。
明美多重荧光数字切片扫描系统MES200的数字化特性(如AI辅助分析、云端数据共享)正在推动生命科学研究的标准化和协作化。

MES200多重免疫荧光样品扫描

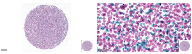
MES200液基细胞明场扫描

MES200 小鼠骨片荧光扫描

明美多重荧光数字切片扫描系统MES200现场装机图
从基础研究到产业转化,从微观细胞到宏观组织,MES200以技术之力,为科研者揭开生命科学的万千奥秘。这个春天,让我们相约华南农业大学,共赴一场科技与创新的盛宴!
微信扫描二维码,点击右上角 ··· 按钮
转发给朋友或分享到朋友圈